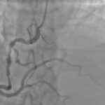
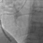
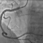
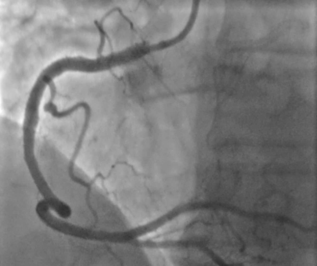
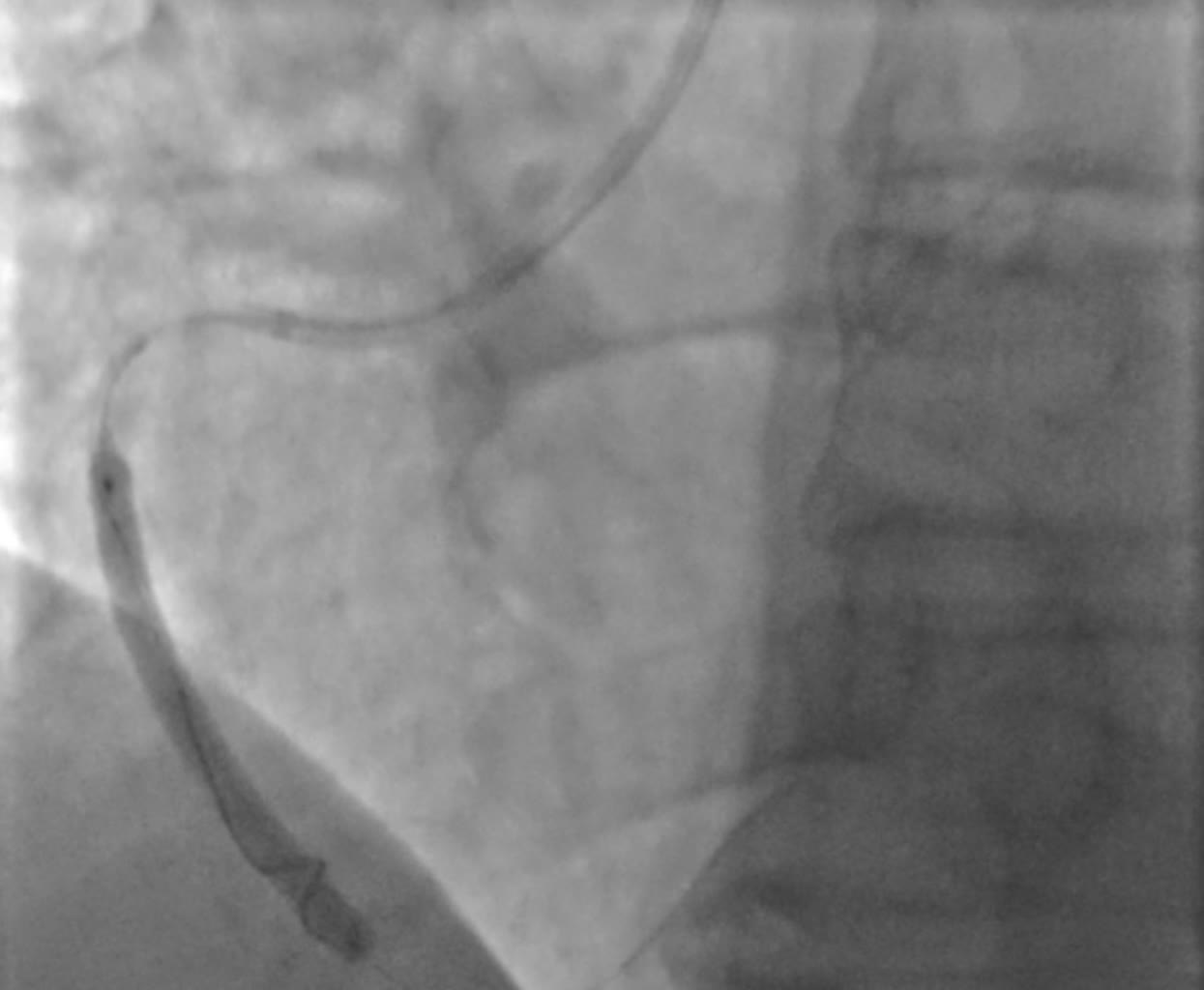
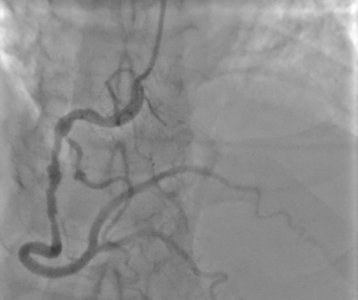
W pracowni radiologii zabiegowej Szpitala Specjalistycznego Ducha Świętego w Sandomierzu wykonano prekursorski zabieg z użyciem minimalnej objętości kontrastu w trakcie angioplastyki wieńcowej czyli naprawy zwężeń w tętnicach wieńcowych u pacjenta z chorobą wieńcową. W zabiegu brali udział lekarze Michał Tarnowski, Mateusz Wiśniowski, Paweł Konrad i dr n. med. Piotr Wańczura.
Mówi Michał Tarnowski, kierownik oddziału kardiologii:
Mówi starszy asystent Mateusz Wiśniowski:
Zabiegi takie wykonuje niewiele ośrodków. Pomagają one ochronić pacjentów jeżeli chodzi o uszkodzenie funkcji nerek.
Fot. Szpital Specjalistyczny Ducha Św. w Sandomierzu/Facebook













